
Kars’ta İranlı Kadının Makadından 94 Parça Uyuşturucu Çıktı
Uyuşturucu kuryesi İranlı kadının makadından 94 parça halinde toplam 550,63 gram uyuşturucu çıktı. Uyuşturucu kuryeliği yapan kadın tutuklandı.
Kars il Emniyet Müdürlüğü Narkotik Suçlarla Mücadele Şube Müdürlüğü uluslararası uyuşturucu madde kuryeliği yapan Fahımeh Golmohammadı Yenkejeh’in Kars’a geleceği yönünde bilgi aldı. Bunun üzerine harekete geçen narkotik ekipleri Fahımeh Golmohammadı Yenkejeh’in de içerisinde yolcu olarak bulunduğu ve Iğdır-Trabzon seferini yapan otobüse operasyon düzenledi.
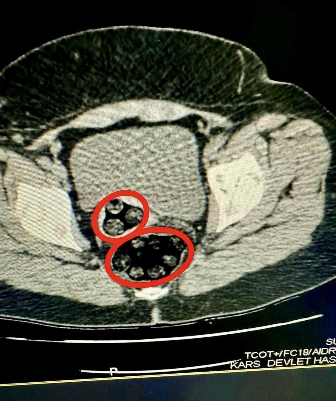
94 parça uyuşturucu cerrahi müdahale ile çıkarıldı
Otobüste gözaltına Fahımeh Golmohammadı Yenkejeh’in yapılan iç beden muayenesinde makadında cisim olduğu tespit edildi. Fahımeh Golmohammadı Yenkejeh’in makadına saklanmış bir şekilde 94 parça 550,63 gram metamfetamin uyuşturucu maddesi cerrahi müdahaleyle çıkarıldı.
Gözaltına alınan Fahımeh Golmohammadı Yenkejeh, İl Emniyet Müdürlüğü’ne getirildi. Burada işlemleri tamamlanan şüpheli, çıkarıldığı mahkemece tutuklanarak cezaevine gönderildi.